Опубликованы первые снимки размножения коронавируса (ФОТО)
01.02.2020 - 0:28
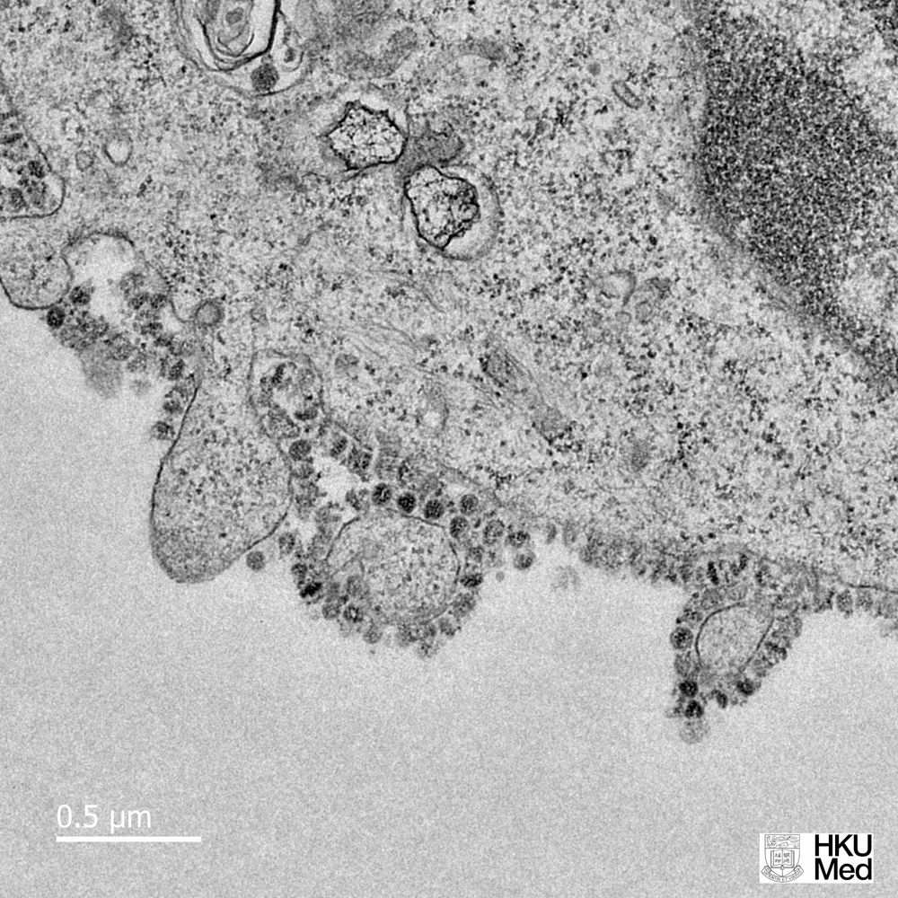
Ученым из университета Гонконга удалось запечатлеть размножение нового коронавируса.
Об этом в пятницу, 31 января, сообщило агентство Bloomberg.
На опубликованных снимках изображена клетка, зараженная коронавирусом 2019-nCoV.
По данным специалистов, каждая инфицированная вирусом клетка может производить тысячи носителей новых вирусных частиц.
Как заявил Джон Николс — один из исследователей, занимавшихся изучением вируса, университет готов предоставить результаты работы другим ученым, у которых нет доступа к штаммам вируса.
Читайте также: Лидеры Евросоюза сделали заявление по поводу Brexit
Присоединяйтесь к «Русской Весне» в Одноклассниках, Telegram, Facebook, ВКонтакте, Twitter, чтобы быть в курсе последних новостей.
Читайте также








